Într-un test important pentru medicina cu celule stem, o companie de biotehnologie spune că implanturile de neuroni fabricați în laborator introduse în creierul a 12 persoane cu boala Parkinson par a fi sigure și ar putea avea simptome reduse pentru unele dintre ele, scriu cei de la Universitatea MIT.
Celulele adăugate ar trebui să producă neurotransmițătorul dopamină, a cărui lipsă este ceea ce produce simptomele devastatoare ale bolii Parkinson, inclusiv problemele de mișcare.
„Scopul este ca ei să formeze sinapse și să vorbească cu alte celule ca și cum ar fi de la aceeași persoană”, spune Claire Henchcliffe, neurolog la Universitatea din California, Irvine, care este unul dintre liderii studiului. „Ceea ce este atât de interesant este că poți livra aceste celule și pot începe să vorbească cu gazda.”
Studiul este unul dintre cele mai mari și mai costisitoare teste de până acum pentru tehnologia celulelor stem embrionare, abordarea controversată și foarte populară de utilizare a celulelor stem prelevate din embrioni FIV pentru a produce țesut de înlocuire și părți ale corpului.
Studiul la scară mică, al cărui scop principal a fost să demonstreze siguranța abordării, a fost sponsorizat de BlueRock Therapeutics, o subsidiară a gigantului de medicamente Bayer. Neuronii înlocuitori au fost fabricați folosind celule stem puternice provenite inițial de la un embrion uman, care au creat o procedură de fertilizare in vitro.
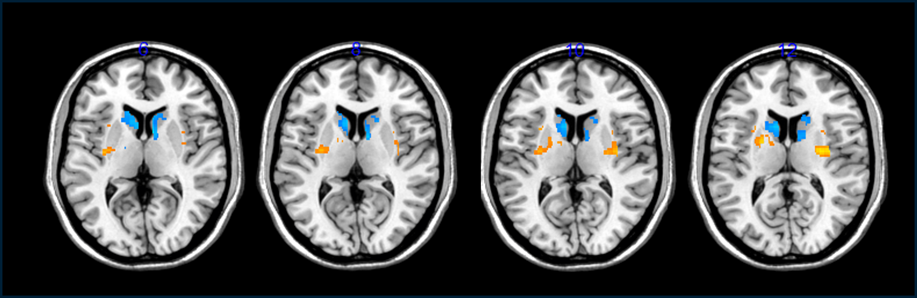
Conform datelor prezentate de Henchliffe și alții pe 28 august la Congresul Internațional pentru Boala Parkinson și Tulburarea de Mișcare de la Copenhaga, există, de asemenea, indicii că celulele adăugate au supraviețuit și reduc simptomele pacienților la un an după tratament.
Aceste indicii că transplanturile au ajutat au provenit din scanări ale creierului care au arătat o creștere a celulelor dopaminergice în creierul pacienților, precum și o scădere a „tempului liber” sau a numărului de ore pe zi în care voluntarii s-au simțit incapacitati de simptomele lor.
Cu toate acestea, experții externi și-au exprimat prudență în interpretarea constatărilor, spunând că acestea par să prezinte efecte inconsistente – dintre care unele s-ar putea datora efectului placebo, nu tratamentului.
„Este încurajator faptul că studiul nu a condus la probleme de siguranță și că ar putea exista unele beneficii”, spune Roger Barker, care studiază boala Parkinson la Universitatea din Cambridge. Dar Barker a calificat că dovada că celulele transplantate au supraviețuit „un pic dezamăgitoare”.
Deoarece cercetătorii nu pot vedea celulele direct odată ce sunt în capul unei persoane, ei în schimb le urmăresc prezența dând oamenilor un precursor radioactiv al dopaminei și apoi urmărind absorbția acestuia în creier într-un scaner PET. Pentru Barker, aceste rezultate nu au fost atât de puternice și el spune că este „încă puțin prea devreme pentru a ști” dacă celulele transplantate au preluat și reparat creierul pacienților.

Celulele stem embrionare au fost izolate pentru prima dată în 1998, la Universitatea din Wisconsin, din embrioni obținuți în clinicile de fertilitate. Ele sunt utile oamenilor de știință deoarece pot fi cultivate în laborator și, teoretic, pot fi convinse să formeze oricare dintre cele aproximativ 200 de tipuri de celule din corpul uman, determinând încercări de restabilire a vederii, de vindecare a diabetului și de a inversa leziunile măduvei spinării.
Cu toate acestea, nu există încă un tratament medical bazat pe celule stem embrionare, în ciuda cercetărilor în valoare de miliarde de dolari efectuate de guverne și companii de peste două decenii și jumătate. Studiul BlueRock rămâne una dintre încercările cheie de a schimba acest lucru.
Iar celulele stem continuă să ridice probleme delicate în Germania, unde Bayer are sediul central. În conformitate cu Legea privind protecția embrionilor din Germania, una dintre cele mai restrictive astfel de legi din lume, este încă o infracțiune, pedepsită cu închisoare, obținerea de celule embrionare dintr-un embrion.
Ceea ce este legal, în anumite circumstanțe, este să folosiți proviziile de celule existente din străinătate, atâta timp cât au fost create înainte de 2007. Seth Ettenberg, președintele și CEO-ul BlueRock, spune că compania produce neuroni în SUA și că pentru a face acest lucru folosește celule stem embrionare din proviziile originale din Wisconsin, care rămân utilizate pe scară largă.
În boala Parkinson, celulele care produc dopamina mor, ceea ce duce la lipsa substanțelor chimice din creier. Acest lucru poate provoca tremor, membre rigide și o scădere generală a mișcării numită bradikinezie. Boala se mișcă de obicei lentă, iar un medicament numit levodopa poate controla simptomele de ani de zile. Un tip de implant cerebral numit stimulator profund al creierului poate reduce, de asemenea, simptomele. Totuși, boala este progresivă și, în cele din urmă, levodopa nu poate controla nici simptomele.
Anul acesta, actorul Michael J. Fox a mărturisit la CNN că s-a retras definitiv din actorie după ce nu și-a mai amintit replicile, deși retragerea are loct la 30 de ani de la diagnosticul său. „Nu o să mint. Devine din ce în ce mai greu”, a spus Fox pentru CNN. „În fiecare zi este mai greu.”
Promisiunea unei terapii celulare este că medicii nu ar rezolva doar simptomele, ci ar putea de fapt înlocui rețelele cerebrale rupte prin adăugarea de noi neuroni.
„Potențialul medicinei regenerative nu este doar acela de a întârzia boala, ci de a reconstrui funcționalitatea creierului”, spune Ettenberg, CEO BlueRock. „Există o zi în care sperăm că oamenii nu se vor mai consideră pacienți cu Parkinson.”
Ettenberg spune că BlueRock intenționează să lanseze un studiu mai amplu anul viitor, cu mai mulți pacienți, pentru a determina dacă tratamentul funcționează și cât de bine.





